Smile Gallery

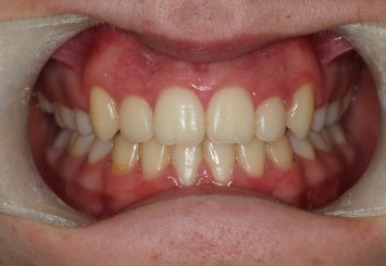
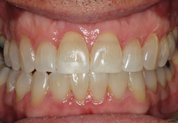
Invisalign Clear Aligners Case 1

Before - Orthodontics
After - Orthodontics

Invisalign Clear Aligners Case 2

Before - Orthodontics
After - Orthodontics

Fixed Braces Case 1

Before - Orthodontics
After - Orthodontics

Fixed Braces Case 2

Before - Orthodontics
After - Orthodontics

Page 1 of 2

Get in touch

Are you a patient?

Are you a dentist?